Unbeatable prices for Invisalign
Our consultations are free with no obligation
Teeth whitening is included with our Invisalign packages
Choosing Wathen Road Dental Practice means opting for a dental care experience that prioritizes your comfort and well-being. Nestled in the heart of Surrey, our practice offers a serene and welcoming environment where you can feel at ease from the moment you walk through our doors. Our dedicated and professional team is committed to providing exceptional care, whether you’re here for a routine check-up, a cosmetic enhancement, or emergency treatment.
We take pride in creating a tranquil atmosphere that allows you to relax throughout your visit. Our skilled team goes above and beyond to exceed your expectations, ensuring that you leave with a radiant smile that reflects your inner confidence. At Wathen Road Dental Practice, we believe in making every visit a positive and reassuring experience, providing you with the highest standard of care you deserve.

We want everyone to comfortably afford the orthodontic treatment they need, so we are pleased to provide 0% finance and zero-deposit options.

We offer a free no-obligation consultation worth £300! Invisalign lets us show you your finished smile in 3D even before you begin treatment.

This technology allows us to monitor your Invisalign progress through a smartphone app, enabling remote tracking and reducing the need for frequent appointments.
Invisalign is a well-known system for straightening teeth in the most discreet way. It works by using a series of clear aligners that fit comfortably over the teeth to gently move them into the desired position over time. There are no fixed brackets or wires used, in fact, the aligners are completely removable.

Virtually invisible way to straighten your teeth

Removable aligners make eating and dental care easy

Your initial scan will show you what your future smile will look like
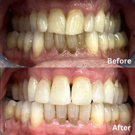
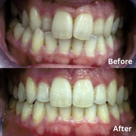
These are just a glimpse of our recent success stories. Let the smiles do the talking. Click the images to enlarge.



Invisalign is a clear alternative to metal braces for kids, teens and adults. With its versatility, discreet appearance and convenient removability, it is one of the most popular orthodontic solutions available. Invisalign can treat the same problems that fixed braces address, including teeth that are overlapping, gapped, twisted, and crooked – but Invisalign is far more comfortable and discreet.
Unlike fixed braces, Invisalign utilises a series of clear aligners or trays to gradually move the teeth into their correct positions. Patients start their treatment by wearing their first aligner for around two weeks before swapping it out for the next aligner in the series and so on.
Each aligner is custom made and moves your teeth according to our dental expert prescription. It’s important to wear your aligners for a minimum of 22 hours a day so they can work their magic. By the time the last aligner has been worn, your teeth should be in their correct positions and you will have a smile to be proud of.
A retainer will then need to be worn while the jawbone adjusts and the teeth settle into their new position. Without a retainer, the teeth are likely to revert to their original position undoing all of your hard work.
If appearance is your prime concern, then compared to bracket and wire style fixed braces, Invisalign wins hands down. Since Invisalign aligners are removable, the treatment relies on patients being committed to wearing them for the recommended minimum of 22 hours per day. Failure to do so can lengthen the duration of treatment and when the aligners are not in the mouth, the teeth can start to shift.
Aligners are also more comfortable to wear than bracket and wire fixed braces and easier to clean. However, Invisalign may not be the best choice for severely misaligned teeth. We will be happy to discuss the best orthodontic solutions to help you achieve your dream smile.
No! Although you may experience slight discomfort for the first few days after your aligners have been fitted, this discomfort is only minor and can be treated with over-the-counter pain relief.
The cost of your Invisalign treatment will depend on how significantly your teeth need to move and how many aligners will be needed to achieve this. We will be able to give you an estimate when you attend your consultation.
Invisalign is a wonderful option for many people looking to enhance their smile! This popular treatment works beautifully for a wide range of patients, from teenagers to adults, who want to straighten their teeth discreetly and comfortably.
When considering if Invisalign is right for you, there are a few things to keep in mind. The good news is that most people who want a straighter smile can benefit from this innovative treatment option. Our experienced team will help determine if it’s the ideal choice for your unique smile goals.
Invisalign works wonders for many tooth alignment issues! If you have crowded teeth that overlap, noticeable gaps between teeth, or teeth that appear twisted or crooked, Invisalign can help transform your smile. It’s also effective for addressing bite problems like overbites, underbites, and crossbites that might be affecting both your appearance and dental function.
The beauty of Invisalign is its flexibility, but it does work best for people who can commit to wearing their aligners for at least 22 hours each day. Since you’ll remove your aligners only for eating, drinking (anything other than water), and your oral hygiene routine, being able to stick to this schedule helps ensure your treatment stays on track and delivers those fantastic results you’re looking for!
One of the many reasons our patients love Invisalign is that it fits seamlessly into various lifestyles and works wonderfully for different age groups.
Teenagers appreciate Invisalign because it allows them to straighten their teeth without the noticeable appearance of traditional braces – perfect for school photos, special events, and everyday confidence! For our adult patients, Invisalign offers the opportunity to achieve the smile they’ve always wanted without disrupting their professional image or social life. The clear aligners are so discreet that many people won’t even notice you’re undergoing treatment!
Everyone’s smile is unique, and what works brilliantly for one person might not be ideal for another. During your free consultation, we’ll take the time to thoroughly examine your teeth, discuss your smile goals, and help you decide if Invisalign is the perfect path to your dream smile. We’re committed to finding the best solution that makes you smile with confidence!
When it comes to straightening your teeth, you have several options to consider! Invisalign has become an incredibly popular choice for many of our patients, and for good reason – it offers some wonderful advantages that make the teeth-straightening journey more comfortable and convenient.
One of the most exciting benefits of choosing Invisalign is just how discreet the treatment is. The clear aligners are virtually invisible when worn, meaning you can transform your smile without anyone needing to know!
For our patients who have professional commitments or simply prefer a more subtle approach to orthodontic treatment, Invisalign is a game-changer. You can attend your important meetings, give presentations, or enjoy social gatherings with complete confidence, knowing your smile transformation is happening behind the scenes. No more worrying about metal brackets or wires taking centre stage in your smile!
Many of our patients tell us how much they appreciate the ability to smile naturally in photos and social situations while using Invisalign. Whether it’s a wedding, graduation, or just everyday interactions, you can feel at ease knowing your orthodontic treatment remains your little secret unless you choose to share it!
Beyond the aesthetic benefits, Invisalign fits beautifully into your daily routine with practical advantages that make the treatment experience smooth and hassle-free.
Unlike fixed braces where certain foods are off-limits, Invisalign aligners are removable! This means you can continue enjoying all your favourite meals and snacks without restrictions. Simply take out your aligners before eating, and pop them back in when you’re finished. This freedom from dietary limitations is one of the features our patients love most about their Invisalign treatment.
Keeping your teeth and aligners clean is wonderfully simple with Invisalign. The ability to remove your aligners makes brushing and flossing just as easy as it was before treatment, helping you maintain excellent oral hygiene throughout your journey. Plus, the smooth, custom-fit aligners are designed for comfort, without any sharp brackets or wires that might irritate your cheeks or gums – making the entire experience much more pleasant!
Every smile is unique, and what works perfectly for one person might not be the ideal choice for another. During your consultation, we’ll chat about your specific needs, lifestyle, and smile goals to determine if Invisalign is the right fit for you. Our team is dedicated to helping you find the most comfortable, effective path to your dream smile!
Invisalign is a remarkably versatile treatment that can address a wide range of dental concerns! These innovative clear aligners have transformed countless smiles by gently correcting various alignment and bite issues that might be affecting your confidence or oral health.
You might be surprised at just how many dental issues can be beautifully corrected with Invisalign treatment. These clear aligners work wonders for many common orthodontic concerns that our patients experience, providing effective results with a comfortable approach.
If you have noticeable gaps between your teeth (known as diastema) or teeth that appear overcrowded and overlapping, Invisalign can help! The custom-designed aligners gradually guide your teeth into their ideal positions, creating harmony in your smile. Many patients are amazed at how effectively Invisalign addresses these spacing issues, even in cases they thought might require more invasive treatment options.
Beyond straightening teeth, Invisalign excels at correcting various bite issues that might be affecting both your smile’s appearance and function. Overbites (where upper teeth extend too far over lower teeth), underbites (where lower teeth sit in front of upper teeth), and crossbites (where some upper teeth sit inside lower teeth) can all be successfully treated with Invisalign. Even open bites, where front teeth don’t meet when your back teeth are closed, can often be addressed with these brilliant clear aligners!
Thanks to continuous innovations in Invisalign technology, today’s treatment options can address increasingly complex dental concerns with impressive results.
Teeth that have rotated out of position can be gently guided back into alignment using Invisalign’s specially designed features. Similarly, deep bites (where upper teeth significantly overlap lower teeth) can be effectively corrected through careful planning and the precision of Invisalign treatment. The custom approach means each aligner is perfectly tailored to your unique smile needs!
For many patients with multiple concerns, Invisalign offers the wonderful benefit of addressing several issues simultaneously. Your treatment plan is digitally mapped from start to finish, allowing us to target various aspects of your smile at once – straightening crooked teeth while also improving your bite function and overall dental alignment for truly transformative results!
Every smile is wonderfully unique, and the specific dental issues that Invisalign can treat for you depend on your individual situation. During your consultation, we’ll thoroughly examine your teeth and discuss which concerns are most important to you, creating a personalised treatment plan that addresses your specific smile goals. We’re here to help you discover just how effectively Invisalign can transform your smile!
One of the most common questions we hear from our patients is about treatment time with Invisalign! While everyone’s smile journey is unique, understanding the typical timeframes can help you plan for your transformation with confidence.
The length of your Invisalign treatment depends primarily on the complexity of your unique dental concerns and how much movement is needed to achieve your dream smile. During your consultation, we’ll create a customised treatment plan that includes an estimated timeline specific to your needs.
For minor tooth alignment issues like slight crowding or small gaps, your Invisalign journey might be wonderfully quick! Many straightforward cases can be completed in as little as 6 months, allowing you to enjoy your new smile in less time than you might expect. These shorter treatments are perfect for patients with primarily cosmetic concerns or those who’ve experienced minor tooth shifting after previous orthodontic work.
More complex dental issues naturally require additional time to correct properly. If you’re addressing significant spacing issues, bite corrections, or rotated teeth, your treatment may typically range from 12 to 18 months. This extra time ensures your teeth move safely and predictably, creating lasting results you’ll love for years to come!
Several factors can influence how quickly you’ll progress through your Invisalign treatment, with some aspects being completely within your control.
One of the biggest advantages of choosing Invisalign is that you can significantly impact your own treatment time! Wearing your aligners consistently for 20-22 hours each day as recommended is absolutely essential for staying on schedule. Patients who are diligent about wearing their aligners often complete their treatment right on time or sometimes even sooner than initially expected – a wonderful reward for your commitment!
Attending your scheduled check-up appointments allows us to monitor your progress and make any necessary adjustments to keep your treatment on track. These brief but important visits typically occur every 6-8 weeks and help ensure your teeth are moving according to plan. Our team will always work with your schedule to make these appointments as convenient as possible!
Every smile transformation is a unique journey, and your specific treatment time will be carefully calculated based on your individual needs and goals. During your consultation, we’ll discuss what you can expect for your particular case and answer any questions you might have about the timeline. We’re committed to helping you achieve your perfect smile as efficiently and comfortably as possible!
It’s so exciting to embark on your Invisalign journey, and one of the most thrilling aspects is watching your smile transform right before your eyes! Many of our patients are pleasantly surprised by how quickly they begin to notice changes in their smile.
Invisalign works through a series of clear aligners that gradually move your teeth into their ideal positions. Each aligner makes small but meaningful adjustments, creating noticeable improvements as your treatment progresses.
While everyone’s smile journey is unique, many patients report seeing subtle improvements within the first few months of treatment! These initial changes often include slight movements of prominent teeth or small reductions in crowding that you might notice when looking closely in the mirror. Even these early shifts can be incredibly motivating as you begin to see your investment paying off.
As you continue wearing your aligners consistently, the changes become increasingly noticeable, typically around the 3-6 month mark for most patients. Friends and family might start commenting on your smile, or you may find yourself smiling more confidently in photos! This middle stage of treatment often brings some of the most dramatic improvements, especially for front teeth that significantly impact your smile’s appearance.
One of the wonderful advantages of Invisalign treatment is the ability to visually track your progress throughout your journey.
Before your treatment even begins, we’ll show you a digital simulation of how your teeth will move during your Invisalign journey! This exciting preview gives you a glimpse of what to expect and helps you visualise the end result. Many patients find this technology incredibly motivating as they can literally see the transformation that awaits them.
We often recommend taking regular selfies of your smile as you progress through your aligners. Looking back at these photos can be incredibly rewarding as you notice changes that might be difficult to observe day-to-day. Some patients even create a smile journal to document their journey, which becomes a wonderful reminder of how far they’ve come!
While the timeline for visible results varies from person to person based on your specific dental concerns, one thing remains consistent – the joy of watching your smile transform is truly priceless! During your regular check-ups, we’ll celebrate your progress together and make any necessary adjustments to ensure you’re getting the beautiful results you deserve. Your dream smile is getting closer with each aligner you wear!
Getting the most from your Invisalign treatment means understanding the recommended wearing time – it’s one of the most important factors in achieving those beautiful results you’re looking forward to!
For optimal results with your Invisalign treatment, we recommend wearing your aligners for 20-22 hours each day. This consistent wear time ensures your teeth move steadily and predictably according to your custom treatment plan. The great news is that this still leaves plenty of time to remove your aligners for meals and your oral hygiene routine!
Many of our patients quickly develop a comfortable rhythm with their aligners, removing them only for meals and brushing. This usually amounts to about 2 hours total throughout the day when your aligners aren’t in place. Some patients find it helpful to use a dedicated case for their aligners and set timers on their phones to track removal time – these simple habits can make it easier to meet your wear time goals!
We understand that life includes special moments and celebrations! For important events like weddings or significant presentations, you can briefly remove your aligners. Just remember that the more consistently you wear them, the better your results will be. Many patients actually appreciate having their clear aligners in during photos and social events, as they’re virtually invisible while still actively improving your smile!
Staying committed to your wear schedule is much easier with a few helpful strategies that our patients have found successful during their treatment.
If you’re using Invisalign Teen, your aligners come with convenient blue compliance indicators that gradually fade with proper wear time. For adult patients, there are several smartphone apps specifically designed to help track your daily wear time, providing gentle reminders when it’s time to put your aligners back in after meals. These tools can be especially helpful as you adjust to life with Invisalign during those first few weeks!
Patients who diligently follow the recommended 20-22 hour wear time typically see the best results and finish their treatment on schedule or sometimes even earlier than expected! Each aligner is designed to apply gentle pressure in exactly the right places, but they can only work their magic when they’re actually on your teeth. Consistent wear ensures continuous progress toward your beautiful new smile.
Your commitment to wearing your aligners as directed is one of the biggest advantages of Invisalign treatment – you have significant control over your results! During your regular check-ups, we’ll discuss how you’re managing with your wear time and offer any helpful tips to make your Invisalign journey as smooth and successful as possible. Together, we’ll ensure you achieve the stunning smile transformation you deserve!
Life gets busy sometimes, and you might occasionally find yourself realizing you’ve left your aligners out longer than planned. While consistency is key with Invisalign treatment, understanding what to do if you miss some wear time can help you get back on track quickly!
If you’ve forgotten to wear your aligners for several hours or even a day, don’t panic! The most important thing is to put them back in as soon as you remember. Your teeth may feel a bit tender when you reinsert your aligners after an extended break – this is completely normal and actually a good sign that your aligners are working to move your teeth back to where they should be in your treatment plan.
For brief lapses in wear time (less than 24 hours), simply resume your normal wearing schedule as quickly as possible. Your teeth might feel slightly tight when you reinsert your aligners, but this sensation typically subsides within a few hours as your teeth readjust. The wonderful adaptability of Invisalign treatment means minor interruptions usually won’t significantly impact your overall progress!
If you’ve gone without wearing your aligners for multiple days, you may need to “back-track” slightly in your treatment. Try wearing your current aligner for a few extra days before moving to the next set, giving your teeth adequate time to move into their proper positions. If the fit feels extremely tight or uncomfortable, you might need to temporarily use your previous aligner until your teeth readjust – we’re always happy to provide guidance if you’re unsure!
The occasional lapse in wear time happens to many patients, but there are simple ways to minimize the impact on your treatment progress.
After a wear time interruption, make a fresh commitment to your recommended 20-22 hours of daily wear. Some patients find it helpful to set regular reminders on their phones or place visual cues near where they typically remove their aligners (like the bathroom mirror or kitchen) to help remember to put them back in promptly after eating or brushing.
If you’ve had a significant gap in wearing your aligners (more than two days), it’s a good idea to let us know at your next appointment or give us a quick call for advice. We might recommend adjusting your wear schedule or coming in for a brief check-up to ensure your treatment stays on track. We’re here to support your journey, not to judge – so please don’t hesitate to reach out if you have concerns!
Remember that your Invisalign treatment is designed with some flexibility in mind, and minor interruptions typically won’t derail your progress. The most important thing is to resume your proper wear schedule as soon as possible and continue moving forward toward your beautiful new smile. We’re always here to help you navigate any challenges that arise during your treatment journey!
Keeping your Invisalign aligners clean is essential for both your oral health and the effectiveness of your treatment! With just a few simple habits, you can ensure your aligners stay clear, fresh, and working perfectly throughout your smile transformation journey.
Establishing a consistent cleaning routine for your aligners will help them stay crystal clear and odour-free. The good news is that maintaining your aligners is quick and simple with the right approach!
We recommend cleaning your aligners thoroughly each morning and evening as part of your regular oral hygiene routine. Gently brush your aligners with a soft toothbrush and lukewarm water – this helps remove any plaque or debris that may have accumulated. Always remember to brush and floss your teeth before reinserting your aligners to prevent trapping food particles and bacteria against your teeth!
Whenever you remove your aligners during the day, give them a quick rinse under cool or lukewarm water (never hot, as this could warp the plastic) before storing them in their protective case. This simple step prevents saliva from drying on the aligners and helps maintain their clarity and freshness throughout your treatment journey.
Choosing the right cleaning products for your aligners will help keep them in perfect condition and free from discolouration or odours.
There are several excellent options for keeping your aligners pristine! You can use the official Invisalign cleaning crystals, which are specifically formulated to clean aligners without damaging them. Alternatively, many patients find that soaking their aligners in a denture cleaner solution (like Retainer Brite) for about 15 minutes creates wonderful results. Just be sure to thoroughly rinse your aligners with water before placing them back in your mouth!
Just as important as knowing what to use is understanding what to avoid! Never use hot water, coloured or scented soaps, toothpaste (which can be abrasive), or mouthwash containing alcohol on your aligners, as these can damage or discolour the clear plastic. Also, avoid eating or drinking anything except plain water while wearing your aligners to prevent staining and bacteria buildup.
Taking good care of your Invisalign aligners not only keeps your treatment on track but also ensures your smile journey is as pleasant and hygienic as possible. With these simple cleaning habits, you’ll enjoy crystal-clear aligners throughout your treatment – allowing you to smile confidently knowing your aligners are as invisible as possible while working their magic on your teeth!
You’re looking forward to the day when your Invisalign treatment is complete and you can enjoy your beautiful new smile! One important question many patients have is about what happens after the active phase of treatment ends – specifically, whether they’ll need to wear a retainer.
Retainers play a crucial role in maintaining the wonderful results you’ll achieve with Invisalign! Once your teeth have been moved into their ideal positions, they need time to stabilize in their new alignment. Without proper retention, teeth have a natural tendency to shift back toward their original positions – a process called relapse that could undo the beautiful changes you’ve worked so hard to achieve.
There are several excellent options for retaining your new smile after Invisalign treatment. Many patients choose clear retainers that look similar to Invisalign aligners but are designed for long-term durability. Others may opt for bonded (fixed) retainers – thin wires attached to the back of your front teeth that provide continuous retention without requiring you to remember to wear them. During your Invisalign journey, we’ll discuss which option might be best suited to your specific needs!
Every smile is unique, and your retention plan will be tailored specifically to your needs! Factors like the complexity of your original alignment issues, your age, and your jaw growth patterns all influence how your teeth will behave after treatment. We’ll create a personalized retention strategy that gives your new smile the best chance of lasting a lifetime.
Understanding what to expect with your retainer wearing schedule helps you prepare for the post-treatment phase of your smile journey.
Most patients begin by wearing their retainers full-time (20-22 hours daily, just like your Invisalign aligners) for a period of about 3-6 months. This critical phase allows the bone and tissues around your teeth to reorganize and stabilize, helping to lock in your beautiful new smile. Think of this as the final step in your active treatment – an investment in making your results permanent!
After the initial full-time period, most patients transition to nighttime-only wear. Eventually, many are able to wear their retainers just a few nights each week for maintenance. However, the best practice for ensuring your smile stays perfect for life is to continue some level of retainer wear indefinitely. The good news is that this becomes such a simple part of your routine that most patients hardly notice it!
While wearing a retainer after Invisalign might seem like an extra step, it’s actually an essential part of your complete smile transformation! Think of your retainer as an insurance policy protecting the investment you’ve made in your beautiful new smile. With proper retention, the stunning smile you achieve with Invisalign can be yours to enjoy for a lifetime!
One of the most wonderful advantages of Invisalign treatment is the freedom it gives you to enjoy your favourite foods and beverages! Unlike traditional braces with their long list of dietary restrictions, Invisalign offers much more flexibility with your eating habits.
The simple rule for eating during Invisalign treatment is to always remove your aligners before consuming any food. This straightforward approach allows you to continue enjoying all your favourite meals without worrying about damaging your aligners or getting food trapped in them.
When it’s time to eat, simply remove your aligners and store them safely in their protective case – never wrap them in a napkin or place them loose on the table, as this is the most common way aligners get accidentally thrown away! After enjoying your meal, it’s best to brush your teeth before reinserting your aligners. If brushing isn’t possible, thoroughly rinsing your mouth with water helps remove food particles until you can brush properly.
One aspect of life with Invisalign that sometimes requires a small adjustment is snacking habits. Since aligners need to be worn 20-22 hours daily for optimal results, frequent snacking can reduce your valuable wear time. Many patients find they naturally transition to three main meals with fewer snacks throughout the day – a pattern that’s actually beneficial for both your dental health and your overall wellbeing!
When it comes to beverages, there are a few simple guidelines to follow that will help keep your aligners in perfect condition throughout your treatment.
While wearing your Invisalign aligners, plain water is the only drink we recommend consuming. Other beverages can stain your aligners, making them more noticeable, or contain sugars and acids that could become trapped between your aligners and teeth – potentially increasing your risk of decay. For hot drinks like tea or coffee, it’s best to remove your aligners to prevent warping the plastic from the heat.
The good news is you can still enjoy all your favourite drinks – from morning coffee to evening wine – by simply removing your aligners first! Just remember to rinse your mouth with water afterward if possible, or at least swish some water around your mouth before reinserting your aligners. This small step helps prevent staining of both your aligners and teeth.
The freedom to eat and drink normally is one of the reasons so many patients choose Invisalign for their smile transformation! With just a few simple habits incorporated into your routine, you can enjoy your favourite foods and beverages while still achieving the beautiful results you desire. We’re always happy to provide specific recommendations for managing mealtimes or special occasions during your Invisalign treatment!